Creen que le pueden haber disparado en alguna chacra de la Ruta 7 de Chubut. Buscan colaboración para conseguirle un carrito.
Proteccionistas de la ciudad de Trelew, provincia de Chubut, intentan salvarle la vida a un perro que fue hallado en una ruta cercana, caído sobre la calzada y sin poder caminar. Cuando le realizaron los primeros estudios veterinarios al animal, descubrieron que lo que le imposibilitaba moverse era una bala alojada en su columna vertebral.
Quien encontró al perro fue un ciclista local que el viernes pasado circulaba por la zona de chacras cercana a Trelew de la Ruta Provincial 7 de Chubut. Andando por allí se topó con la escena del perro sobre el pavimento, consciente pero dando muestras de que no podía mover su cuerpo.
Inmediatamente, el ciclista decidió correrlo de la ruta para evitar que fuera atropellado, ya que estaba en el medio del camino. Además publicó su foto en redes sociales para intentar dar con los dueños o con alguien que lo conociera.
De este modo, la noticia llegó a Marcelo Luzio quien, junto con su esposa, lleva adelante Los Callejeros, el refugio más antiguo de la ciudad de Trelew.
El diagnóstico inesperado
Luzio contó que en un principio creyeron que la inmovilidad del animal podía haber sido provocada por una toxina contagiada por garrapatas. Sin embargo, al llevarlo al veterinario descubrieron que la causa era otra.
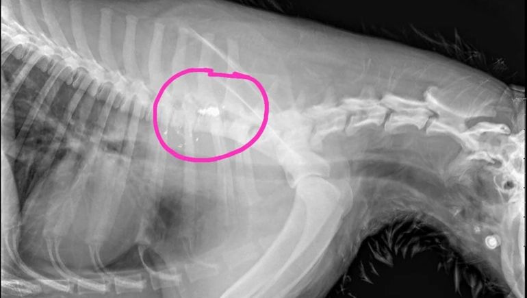
“Pudieron detectar que había una bala alojada en una de sus vértebras, así que esto es producto de un tiro que ha recibido”, explicó el rescatista.
El proyectil, que se ve perfectamente en las radiografías que le realizaron al perro, le provocó una lesión neurológica grave que le impide caminar.
“El perrito está inerte, come, toma agua, ahora está en el refugio y lo tenemos colgadito porque no se sostiene en sus cuatro patas. El pronóstico no es favorable”, señaló el vecino de Trelew.
Respecto de lo que pudo ocurrir para que el perro terminara con una bala alojada entre sus vértebras, todo son especulaciones. “Hago memoria y ese día hubo un acto de la UOCRA donde tiraron bombas de estruendo y hubo muchos perros perdidos que huyeron hacia todos lados”, contó Luzio.
“Pensamos que por ahí este perrito se asustó, se metió a una chacra y le dispararon”, agregó.
Trelew: en busca de ayuda y de información
En caso de que puedan salvarlo y que se recupere, es muy probable que el animal necesite de un carrito ortopédico para poder desplazarse, algo con lo que por el momento Los Callejeros no cuenta.
“Tenemos algunos en el refugio, pero no son de su tamaño”, explicó Marcelo, por lo cual espera, si fuese necesario, poder contar con la solidaridad de la gente, ya que su organización no recibe ningún tipo de subvención estatal.
“Generalmente solventamos los gastos con rifas, sorteos y donaciones de la gente. Muchos colaboran, pero a veces no alcanza”, subrayó el proteccionista.
También solicitó que cualquiera que tenga alguna información sobre los dueños del perro o que quiera y esté en condiciones de colaborar con el refugio, se contacte al número de teléfono +54 9 280 468-0407 (Refugio Los Callejeros).
Mientras tanto, en el refugio de Trelew confían en que, pese a lo complejo de su cuadro de salud, el perrito rescatado pueda sobrevivir.
“Somos creyentes. Creo que la última palabra la tiene Dios. Si se queda con nosotros, vamos a agotar hasta las últimas circunstancias para darle posibilidad de vivir”, afirmó Luzio.
Te puede interesar...
Leé más
Crimen del boxeador en Trelew: dos disparos por la espalda en medio de la noche y mucho misterio
Noticias relacionadas










