Córdoba
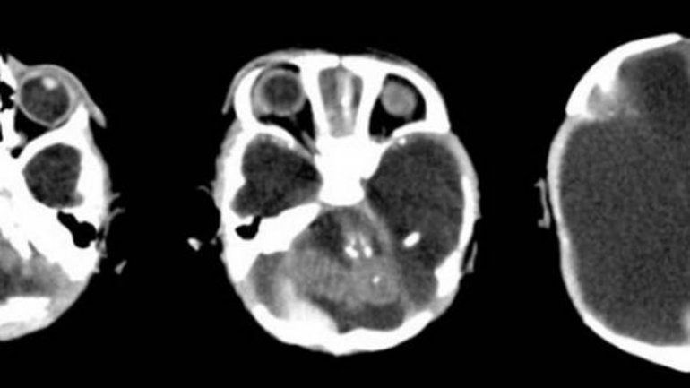
Nació un bebé con microcefalia por zika en Córdoba. La enfermedad se la transmitió la mamá, que contrajo el virus durante el embarazo, estando en Bolivia, de donde es oriunda. El virus se contagia a través de la picadura del mosquito Aedes Aegypti infectado, el mismo insecto que es vector del dengue y la fiebre chikungunya. En este caso fue una transmisión vertical, pues se dio entre la gestante y el nonato.
Según informó Marcela Miravet, secretaria de Prevención y Promoción de la Salud de esa provincia, “este fin de semana nació en la Maternidad Nacional un niño producto de una gestación de una mujer de nacionalidad boliviana, que vive en Córdoba, pero que en los primeros meses de embarazo estuvo en Bolivia donde adquirió la enfermedad del zika”.
“Se detecta el caso y se hace la notificación a epidemiología de Córdoba y al Sistema Nacional de vigilancia epidemiológica lo que genera un alerta”, sostuvo y agregó: “Sería uno de los primeros casos de un paciente en el que en los controles de diagnósticos por imágenes se detectan ya en las primeras ecografías las alteraciones en el desarrollo neurológico”.
La funcionaria, además, precisó que en los estudios “también se encontraron otras lesiones del sistema nervioso central, que son características a los casos de microcefalia y alteraciones neurológicas vinculadas a embarazadas que padecieron de zika”.
Te puede interesar...
Leé más
Un nene de 6 años y una mujer murieron atrapados por el fuego: hay dos personas en estado crítico
Dos tragedias en menos de una hora: murieron aplastadas una nena de 5 años y una chica de 15
El FMI advirtió que la inflación oficial está desactualizada y pidió reformar el INDEC
-
TAGS
- Córdoba
Noticias relacionadas









